
hier hat Bastets Vater gelebt
Loricat´s Independent Spirit
Photo by Sabine Pönitsch
|
Domenica
Bastets Torbie-Tochter

Kinder & Kindeskinder
|

hier sind Bastets Mutter & Oma und viele ihrer Vorfahren geboren
Vivian the Fabulous
Photo by Raymonde Harland
|
|
..mit ihren Kindern
D-Wurf on Huge Paws
© Claudia Tandler
|
..ihren Enkeln
Manders G-Wurf
|
..und Urenkelin Lise
Manders Fabelhafter Wurf
|
|
HCM- und Nieren-Schall September 2011
|
HCM normal
other diagnosis: Outburn Kardiomyopathie
aufgrund Niereninsuffizienz
sowie ggr. Mitralklappeninsuffizienz
age: 7y 9m
weight: 4.4 kg
IVSd: 3.1 mm
LVFWd: 3.3 mm
SAM: no
papillary muscles: normal
|
Dr.Tobias, Hannover
|
|
|
HCM-Schall März 2011
|
HCM normal
other diagnosis:
ggr. Mitralklappeninsuffizienz
age: 7y 2m
weight: 5.1 kg
IVSd: 3.8 mm
LVFWd: 4.1 mm
SAM: no
papillary muscles: normal
|
Dr.Tobias, Hannover
|
|
|
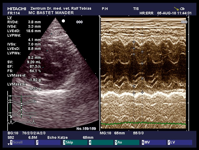
HCM-Schall August 2010
|
HCM normal
other diagnosis:
ggr. Mitralklappeninsuffizienz
age: 6y 7m
weight: 5.25 kg
IVSd: 3.3 mm
LVFWd: 4.1 mm
SAM: no
papillary muscles: normal
|
Dr.Tobias, Hannover
|
|
|
HCM-Schall September 2009
|
HCM normal
other diagnosis:
ggr. Mitralklappeninsuffizienz
age: 5y 8m
weight: 5.1 kg
IVSd: 3.3 mm
LVFWd: 5.2 mm
SAM: no
papillary muscles: normal
|
Dr.Tobias, Hannover
|
|
|
HCM-Schall März 2009
|
HCM normal
other diagnosis:
ggr. Mitralklappeninsuffizienz
age: 5y 2m
weight: 5.0 kg
IVSd: 5.0 mm
LVFWd: 4.7 mm
SAM: no
papillary muscles: normal
|
Dr.Tobias, Hannover
|
|
|
HCM-Schall Januar 2007
|
normal
age: 3y 0m
weight: 4.5 kg
IVSd: 4.7 mm
LVFWd: 4.8 mm
SAM: no
papillary muscles: normal
|
Dr.Tobias, Hannover
|
|
HCM-MYBPC3-Gentest1 A31P G>C
|
"N/N"
|
Laboklin / DNA Diagnostics
|
|
HCM-MYBPC3-Gentest2 A74T G>A
|
"N/N"
|
Laboklin
|
|
HCM-MYBPC3-Gentest3 R820W C>T
|
"N/N"
|
DNA Diagnostics
|
|
PKD-Schall März 2008
|
PKD normal
morphologisch verändertes Nierengewebe
Alter: 4J 2M
beide Nieren und Leber
ohne erkennbare Zysten
|
Dr.Lüerssen, Hemmingen
|
|
PKD1-Gentest
|
"N/N"
|
Biofocus / DNA Diagnostics
|
|
SMA-LIX1-Gentest
|
"N/N"
|
Biofocus |
|
PK-Mangel-Gentest
|
"N/N"
|
Labolin |
|
MPS1-Gentest
|
"N/N"
|
DNA Diagnostics |
|
MPS7-Gentest
|
"N/N"
|
DNA Diagnostics |
|
MPSM-Gentest
|
"N/N"
|
DNA Diagnostics |
|
PRA-CEP290-Gentest IVS50 + 9T>G
|
"N/N"
|
DNA Diagnostics |
|
Blutgruppe Gentest
|
"A/A"
|
DNA Diagnostics |
|
Bastet nimmt an der Laboklin-HCM-Studie und an den Gesundheitsprogrammen HCM, SMA und PK Mangel bei PawPeds teil
|
|
Best in Show in Farmsen 2007 Photo by Raymonde Harland
|
5x Best in Variety
in Celle, Hannover, Northeim, Osterode, Vienenburg
34x nominiert für Best in Show
u.a. in Braunschweig, Buxtehude 2x, Eggersdorf, Fallingbostel, Hamburg-Farmsen, Hameln, Hannover, Heppenheim, Leipzig, Vienenburg 2x, Wolfsburg 3x
davon 18x Best in Show
in Barsinghausen 3x, Berlin, Braunschweig, Bremen 2x, Buchholz, Eggersdorf, Hamburg-Farmsen 2x, Hameln, Hildesheim, Magdeburg, Northeim, Rheda-Wiedenbrück, Seevetal, Wolfsburg
|
Bastet trägt seit April 2008 den Titel World Premior
und erhielt seitdem 6x den Preis für die Beste Ehrenklasse
in Bad Nauheim 2x, Berlin, Hameln, Lünen-Brambauer, Seevetal
Sie hat in den 5 Jahren ihrer Ausstellungskarriere 53x auf der Bühne gestanden
|
Best in Show in Bremen 2008
|
Caitlin und Benvenuto wurden Rassesieger
und waren nominiert
|
Ihre letzte Ausstellung war am 19. Juni 2011 die letzte Ausstellung "ihres" BEC in Hamburg-Farmsen
Bastet stand wie im Jahr davor zusammen mit ihren Enkelkindern auf der Bühne
|
Bastet erhält ihren Ehrenpreis
und war nominiert
|
|
Für die Inhalte von verlinkten externen Seiten sind ausschließlich deren Betreiber verantwortlich.
Die Urheberrechte für die Banner liegen beim jeweiligen Seitenbetreiber, für Texte, Fotos - soweit nicht anders angegeben - und Webdesign unter mander.eu bei
Nicola Mander - Alter Weg 70 - D-38302 Wolfenbüttel - 0 53 31 / 90 72 54 - mander(at)t-online.de
|